Stereo-Video Microscopic Dissection
Stereo-Video Microscopic Dissection
The latest advances in hair transplantation are possible because of the binocular stereoscopic dissecting microscope that allows us to harvest 20% more hair from the donor area. There are five reasons why the use of the stereoscopic microscope helps us to produce such a superior result:
1. The stereoscopic microscope gives us a greatly enlarged, and therefore completely clear view of the structure of your hair and the way it is placed in its natural state. This enables us to work with great precision between each follicular unit and preserve not only the hair but also its vital structures such as the sebaceous glands and the hair roots. Without the stereoscopic microscope, there is a danger that the surgeon could cut through some of the hair and the vital structures and damage them in the process.
2. Grafts transplanted with the stereoscopic microscope will be healthier and will grow more vigorously (because we have been better able to preserve the sebaceous glands and the dermal papillae). This means we not only harvest 20% more hair, but also that the hair we have transplanted will be healthier and therefore will grow more vigorously.
3. By using the stereoscopic microscope, we can also detect and use the very young hair that is in the early stages of regeneration and is not visible to the naked eye. At any stage of life, your hair includes about 13 to 17% of this very young hair. By using this, we provide more hair for the transplant and thus a greater density in the final result.
4. The hair at the back of your head is a finite resource; by using the stereoscopic microscope we use this precious resource more fully.
5. The advantages of the stereoscopic microscope are even more dramatic when we work with hair that is very fine, very dense, curly, or white.
| The HCI is one of the few facilities in ASIA that uses the stereoscopic Electonic Video microscopes for every graft taken from your donor area. This microscopic grafting is very labour-intensive and increases the need for thoroughly trained staff. | ||
| Q. What happens to the grafts once they have been dissected? After careful dissection of the donor area our technicians yield follicular unit grafts. The technicians then begin to plant these grafts with a technique called ‘Dense Packing’. | ||
| ||
Original design project of high quality raises profit – this is proved practice customers.
Please refer to this diagram, which outlines the basics of Follicular Unit Anatomy, while viewing the videos.
- You can only perform follicular unit transplantation if you have follicular units to transplant.
- In order to dissect intact individual follicular units, you must be able to see them clearly.
- Only the microscope allows their clear visualization in both normal and scarred skin, independent of the specific hair characteristics of color, hair shaft diameter, curl or wave.
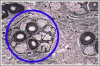
A cross sectional photo magnified 300 times shows the follicular units surrounded by sebaceous glands crucial for their survival and clearly visible when dissected using the Binocular Stereoscopic Dissecting Microscopes
As described in the section on Single Strip Harvesting, follicular dissection can logically be divided into two parts; the subdivision of the initial donor strip into smaller pieces and the further dissection of these pieces into individual follicular units. The first part of the procedure, the handling of the intact strip, has always been the most problematic. This is the main reason for the continued popularity of the multi-bladed knife, as the multi-bladed knife bypasses the first part of the procedure by generating thin sections that can be laid on their sides. The thin sections, resting on their sides then have stability for further dissection and permit transillumination from back-lighting. An intact strip however, is difficult to stabilize and is too opaque (doesn’t transmit light) for transillumination to be useful.
The dissecting microscope allows the strip to be divided into sections (or “slivers”) by actually going around follicular units leaving them intact. The dissecting stereo-microscope is able to accomplish this because of its high resolution (usually 5x more powerful than magnifying loops) and its intense halogen top-lighting that provides continuous illumination as one dissects through the strip. Stability can easily be achieved by applying slight traction to the free end of the strip. The thin slivers are then laid on their sides and the microscopic dissection of the individual units is completed.
With stereo-microscopic dissection, except for the outer edges of the strip, every aspect of the procedure is performed under direct visualization, so that follicular transection can be minimized and the follicular units maintained. You are welcome to observe our team performing microscopic dissection by visiting our offices.
In a bilaterally controlled study , the dissecting microscope was compared to magnifying loops with transillumination, for the preparation of follicular unit grafts after the strip was divided into thin sections . The results showed that microscopic dissection produced a 17% greater yield of hair as compared to magnifying loops with transillumination. This study showed an increase in both the yield of follicular unit grafts, as well as the total amount of hair. What is important to note is that this increase was observed when only the latter part of the dissecting procedure was studied i.e. after the strip has already been cut into sections. When complete microscopic dissection is used, the difference in yield is even more significant, and is probably on the order of an additional 5% to 10%.
This means that single strip harvesting combined with stereo-microscopic dissection will produce around 25% more intact hair follicles in each procedure. Then why won’t doctors use them? The reason is that it is more time consuming, requiues special skill and training, requires a larger staff than doctors generally have in their offices, and is more costly for the doctors to perform. But if it were the doctor’s own head, there is no doubt what method would be choosen. It is a shame they don’t treat their patients the same way.