Our Gallery

Contact Info

[ Surgical ]

Eyebrow Transplant

In addition to hair transplant procedure, we are also accomplished in restoring or enhancing eyebrow, utilizing the hair transplant’s dense packing technique. Our surgical team can transplant up to 500 grafts (up to 1000 hairs) into one set of male eyebrows in a single session. Eyebrow Restoration is a more delicate procedure because of the eyebrow’s facial visibility which is much more noticeable than the scalp. Eyebrow surgery requires more skill because of how the eyebrow is almost parallel to the skin. Our highly skilled surgical team implements a dense packing technique that allows eyebrow restoration to look natural and unnoticeable.

The whole procedure takes about 3-4 hours. Usually 200 to 250 grafts are implanted on one set of female eyebrows, and 400-500 grafts on one set of male eyebrows. At our Center, our team of professionals can can create a new eyebrow, extend an existing eyebrow, or increase the density of an existing eyebrow. Usually, only one session is all that is needed to restore a patient’s eyebrows. Our unique and advanced techniques allow us to achieve our excellent results.

The new eyebrow will look very natural. However, because the hair is taken from the back of your scalp, it will continue to grow long and periodic trimming is required.

Eyebrow

Scars

Eyebrow plays role in human as a protection against sweat, rain and snow from entering the eyes. Its esthetic value in facial features is critically important. The people who have lost their hair in this area through scars, burn or age can be restored through transplant. The number of single hair transplant that are needed is approximately 400 – 600. The special consideration in this procedure is the direction and the angle of the hair.

One special consideration for scar area is that, depending on their extent and depth, the survival for graft is somewhat lower than that of non scar areas. Usual scar areas that need transplants are face lift scar lines, hairless areas in eyebrow and mustache or beard, surgical scars after cleft-plate, and scars in hair scalp.

Eye Lashes

Eyelashes can be transplanted using soft single hair with good direction. Each upper eyelid margin can be transplanted between 40 and 60. As these hairs will continue to grow they will be needed to trim them periodically.

Mustache & Beard

Aside from people who has no hair due to their genetic traits, people often lack hair in these areas due to burn and scars. These areas can be easily transplanted using similar technique.

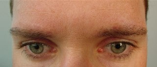
Case 1:
One Surgery – 400 Micrografts

malebrow1
Before Surgery
malebrow3
malebrow2
After Surgery
malebrow4

Case 2:
One Surgery – 250 Micrografts

femalebrow1
Before Surgery
femalebrow2
After Surgery

Case 3:
One Surgery – 370 Micrografts

malebrow5
Before Surgery
malebrow6
After Surgery

Case 4:
One Surgery – 200 Micrografts

malebrow10
Before Surgery
malebrow9
After Surgery

Case 5:
One Surgery – 416 Micrografts

malebrow15
Before Surgery
malebrow16
After Surgery

Case 6:
One Surgery – 210 Micrografts

femalebrow4
Before Surgery
femalebrow3
After Surgery

Case 7:
One Surgery – 424 Micrografts

malebrow17
Before Surgery
malebrow18
After Surgery